Ossi carpi
Die Handwurzelknochen
Die Handwurzelknochen (lat. Ossa carpi) gehören zu den kurzen Knochen (Ossa brevia) des Skeletts, die in zwei Reihen mit jeweils vier Knochen angeordnet sind. Dabei liegen die Knochen so, dass sich handflächenseitig (palmar) eine konkave Wölbung ergibt.
Diese relativ kleinen Knochen ermöglichen im Zusammenspiel eine gute Beweglichkeit der Hand in mehreren Richtungen
Bild: "Handgelenk Schema" von Zoph aus der
deutschsprachigen Wikipedia. Lizenz: CC BY-SA 3.0
Die einzelnen Handwurzelknochen:
Die proximale Reihe besteht aus:
- A Kahnbein (Os scaphoideum , früher auch Os naviculare),
- B Mondbein (Os lunatum),
- C Dreiecksbein (Os triquetrum),
- D Erbsenbein (Os pisiforme).
Die distale Reihe besteht aus:
- E Großes Vieleckbein (Os trapezium),
- F Kleines Vieleckbein (Os trapezoideum),
- G Kopfbein (Os capitatum)
- H Hakenbein (Os hamatum).
Als Gedächnisstütze kann folgender Vers dienen:
Ein Kahn der fuhr im Mondenschein im Dreieck um das Erbsenbein.
Vieleck-gross und Vieleck-klein, am Kopf da muss der Haken sein.
Die häufigsten knöchernen Verletzungen der Handwurzelknochen:

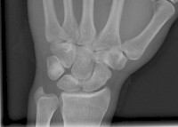
Normalbefund Handgelek ap
Bild: mta-r.de
Frakturen des Kahnbeins sind komplikationsgefährdet, da sich Pseudarthrosen (Kahnbeinpseudarthrosen) bilden können, die in der Regel operativ nachbehandelt werden müssen.
Seltener kommen auch Frakturen der anderen Mittelhandknochen vor.
Das Mondbein kann an einer Arthrose des Handgelenks beteiligt sein. Selten kommt es bei Stürzen zu einer „perilunären Luxation“ oder zu einer isolierten Lunatumluxation.
Die Kahnbeinfraktur (Scaphoidfraktur) ist die wichtigste und zugleich problematischste Handwurzelfraktur. Sie resultiert meist aus einem Sturz auf das extendierte Handgelenk. Standarddianostik ist die Röntgenuntersuchung mit entsprechenden Spezialaufnahmen. Zur weiteren Klärung kommen die Computertomographie (CT) und die Kernspintomographie (MRT) der Handwurzel in Frage.
Zur Mondbeinluxation oder zu den sogenannten perilunären Luxationsfrakturen kommt es durch Unfälle mit höherer Energieeinwirkung oder durch Stürze auf die überstreckte Hand. Entscheidend ist die frühestmögliche – notfalls offene - Reposition der Luxation mit anschließender Gipsruhigstellung.










Kommentieren