Bilder aus der Praxis
Ellenbogenluxation bei 7-jährigem Kind
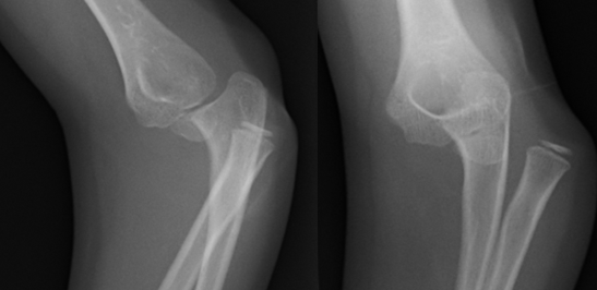
Ellenbogenluxation mit Sprengung des proximalen radio-ulnaren Gelenkes bei einem 7-jährigen Mädchen.

Ellenbogenluxation mit Sprengung des proximalen radio-ulnaren Gelenkes bei einem 7-jährigen Mädchen.

Kommentieren