Bilder aus der Praxis
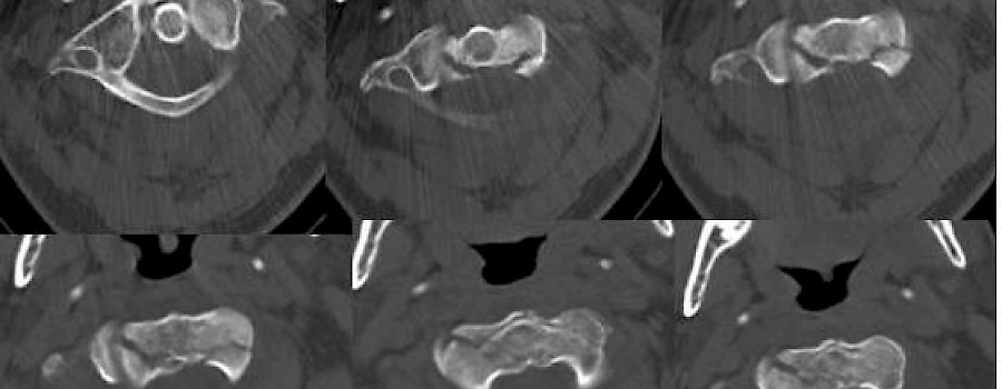
HWS - isolierte Knochenspange
Blockwirbelbildung HWK 5/6 - Deutliche Osteochondrosen in den angrenzenden Segmenten - Dorsal auffällige isolierte Knochenspange angrenzend an den Dornfortsatz HWK 6, am ehesten im Sinne einer
Blockwirbelbildung HWK 5/6 - Deutliche Osteochondrosen in den angrenzenden Segmenten - Dorsal auffällige isolierte Knochenspange angrenzend an den Dornfortsatz HWK 6, am ehesten im Sinne einer
Patient kommt nach Verkehrsunfall mit Schleudertrauma zum Ausschluss einer knöchernen Verletzung!
Patient - männlich -54 Jahre alt ist im Bad ausgerutscht und mit dem Genick auf Badewannenrand geschlagen.