MTA-R.de
  • Blog
  • Jobs
  • Zeitschrift
  • Termine
  • Wer weiß was?
  • Login
    Registrieren
    Password vergessen?
  1. Schlagworte


  2. Warning: count(): Parameter must be an array or an object that implements Countable in /www/htdocs/w00d881f/www.mta-r.de/dev/site/assets/cache/FileCompiler/site/templates/_main.inc on line 127
  3. Inhalationstrauma

Fallbeispiel

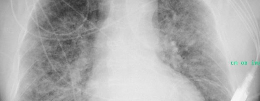
Lungenödem nach Inhalation von Salpetersäure

Karl-Heinz Szeifert 7 Jan, 2020 00:00

Respiratorisches Versagen bei Inhalationstrauma mit Salpetersäure

Neuste Jobs

Aktuell sind keine Stellenanzeigen verfügbar.

Nächste Termine

Aktuell sind keine Termine verfügbar.

Neuste Artikel

Situs inversus

Die „Rosenberg-Aufnahme“ des Kniegelenks

Rückstrahlung durch Bleiabdeckungen

Aktuelle Fragen

Strahlenschutz beim Extremitäten röntgen

Was versteht man unter Spektrum?

Darf ich ohne "Schein" Röntgen?

Bilder

Grundlage der Projektionsgesetze
Schutz der Augenlinse bei Schädel-CT durch Gantrykippung
Mann mit faustgroßem Loch im Thorax gerettet
Der kleine Röntgen-Ratespaß (09)
Kontrastmittel in der Röntgendiagnostik
Kompendium der Röntgen Einstelltechnik und Röntgenanatomie
PET-CT mittels 18-FDG (Fluordesoxyglucose)
Ein großes medizinisches Wagnis!
Die Frage nach der Schwangerschaft

Kontakt

MTA-R.de
Vulkanstraße 23
53179, Bonn
info@mta-r.de

Motto

Gemeinsam zum Ziel! Wir möchten gemeinsam mit eurer Hilfe zur ersten Anlaufstelle im Internet werden für Personal im Radiologischen Bereich.

Service

  • Stellenanzeigen
  • Terminkalender

Weiteres

  • Kategorien
  • Schlagworte

Info

  • Impressum
  • Datenschutzerklärung
  • MTA-R.de

Copyright © by MTA-R.de und Max Schmidt-Römhild GmbH & Co. KG 2018