Fallbeispiel
Große stielförmige Exostose
Patient 14 Jahre alt männlich. Kommt wegen einer Distorsion des linken Knies in die Notfallambulanz.
Patient 14 Jahre alt männlich. Kommt wegen einer Distorsion des linken Knies in die Notfallambulanz.
Patient: männlich - 50 Jahre - Anamnese: Bei Montage Mertallstange ins Gesicht geschlagen.
Ein Strahlenschutzbeauftragter Arzt wurde bzw. wird vom Strahlenschutzverantwortlichen schwer in seiner Arbeit behindert. Konkret wurden ihm arbeitsrechtliche Konsequenzen angedroht nur weil er auf Missstände hinwies.
Übermäßiger Alkoholgenuss und die möglichen Folgen!
Während bei Männern die Gonaden durch umschließende Hodenkapseln in den allermeisten Fällen seht gut vor Strahlenbelastung durch Röntgenaufnahmen geschützt werden können ist dies bei den Frauen naturgemäß schwieriger bzw. nicht möglich.
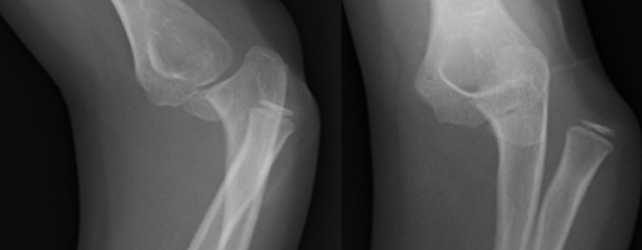
Ellenbogenluxation mit Sprengung des proximalen radio-ulnaren Gelenkes bei einem 7-jährigen Mädchen.
Eine Spondylolisthesis, umgangssprachlich ein Wirbelgleiten oder eingedeutscht eine Spondylolisthese genannt, ist eine Instabilität der Wirbelsäule, bei der das obere Teilstück der Wirbelsäule mit dem Gleitwirbel über den darunter liegenden Wirbelkörper nach ventral (nach vorn) gleitet.
Wie wichtig exakte Positionierungen und entsprechende Kenntnisse in Einstelltechniken beim Röntgen sind, soll im nachstehenden Fallbeispiel dargestellt werden.
Blockwirbelbildung HWK 5/6 - Deutliche Osteochondrosen in den angrenzenden Segmenten - Dorsal auffällige isolierte Knochenspange angrenzend an den Dornfortsatz HWK 6, am ehesten im Sinne einer
"Paula in der Röhre" ist ein Kinderbuch, das Bayer HealthCare zum Free-Download auf seien Web-Seiten anbietet.