Ein kleines Spielchen für zwischendurch!
Strippensalat
Genau richtig für den Faschingsdienstag! Für alle, bei denen noch Kind in Frau/Mann steckt.
Genau richtig für den Faschingsdienstag! Für alle, bei denen noch Kind in Frau/Mann steckt.
Der Nuklearunfall von Samut Prakan geschah im Februar 2000 in Thailand. Durch die Freisetzung von ionisierender Strahlung aus einem ausgedienten medizinischen Kobalt-60-Bestrahlungsgerät kamen dabei mindestens drei Menschen zu Tode...
Es gibt schon manchmal komische Situationen in einer Röntgenabteilung. So wie in diesem Falle...,
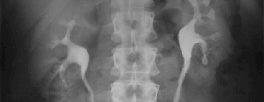
Was ist auf unserem heutigen ominösen Röntgenbild abgebildet?
Heute mal etwas anders! - Ein Geduld- und Zählspiel! - Wie viele Büroklammern sind auf unserer heutigen Röntgenaufnahme abgebildet?
Kontrastmittel, die beim Röntgen eingesetzt werden, können gefährlich sein. Denn sie können die Funktion der Nieren verschlechtern. Gefährdet sind besonders Patienten, deren Nieren bereits vorgeschädigt sind.
Was ist auf unserem heutigen ominösen Röntgenbild abgebildet?
Viele Menschen reisen - privat oder geschäftlich - mit dem Flugzeug. Diese fliegen oft in Höhen und geografischen Breiten, in denen deutlich mehr Höhenstrahlung auf den Menschen einwirkt als am Boden.
Antoine Henri Becquerel (* 15. Dezember 1852 in Paris; † 25. August 1908 in Le Croisic (Loire-Atlantique)) war ein französischer Physiker.
Auch in Tabak befinden sich radioaktive Substanzen. Somit führt das Rauchen natürlich auch zu einer starken radioaktiven Belastung der Lunge. Man geht davon aus, dass die durch das Rauchen inhalierten Radionuklide für rund 50 % aller auftretenden Lungenkrebse (mit)verantwortlich sind.