32 Jahre nach Tschernobyl

Wildpilze teilweise noch radioaktiv belastet

Karl-Heinz Szeifert 29 Oct, 2018 00:00

Auch 32 Jahre nach der Reaktorkatastrophe von Tschernobyl sind deren Auswirkungen in Deutschland zu beobachten. Das belegen Messergebnisse, die das Bundesamt für Strahlenschutz (BfS) in zwei aktuellen Berichten veröffentlicht hat.

Röntgen bitte nur im Zweifelsfall

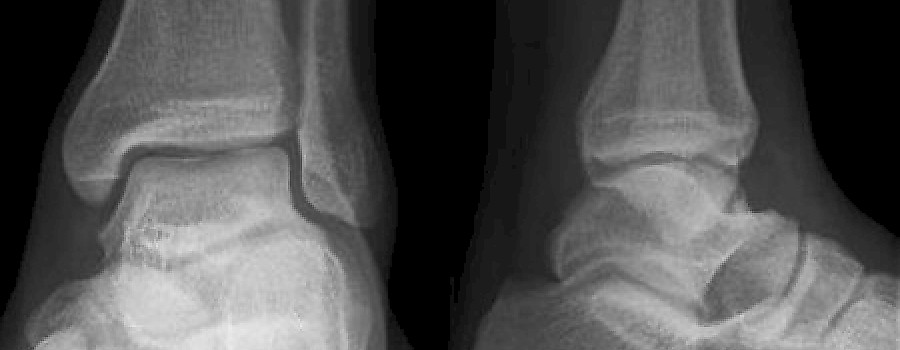
Die gehaltene Aufnahme des OSG

Karl-Heinz Szeifert 6 Nov, 2018 00:00

Sind gehaltene Aufnahmen von Sprunggelenken nach Supinationstrauma heute noch sinnvoll? Dieser Fragestellung geht Claus Becker, leitender MTRA des Uniklinikums Regensburg nach.

Neues zum

Strahlenschutzrecht ab 2019

Karl-Heinz Szeifert 10 Jan, 2019 00:00

Bereits am 27.06.2017 wurde ein neues Strahlenschutzgesetz veröffentlicht, das jedoch in den für die Medizin relevanten Teilen erst zum 31.12.2018 in Kraft getreten ist.

Anträge jetzt stellen!

Strahlenschutzregisternummer (SSR-Nr)

Karl-Heinz Szeifert 15 Jan, 2019 00:00

Die Beantragung der SSR-Nummern beim BfS für alle aktuell in der Überwachung befindlichen Beschäftigten (beruflich exponierte Personen und Inhaber von Strahlenpässen) soll spätestens bis zum 31.03.2019 durchgeführt werden.

Repetitorium

Strahlenwarnzeichen

radiologie|technologie radiologie|technologie Heft 4/16 S.21

Ein Beitrag aus der Zeitschrift "radiologie|technologie"

Dosis-Wirkungsbeziehungen

Interventionelle Radiologie

radiologie|technologie Heft 2 (2017) Seite 6

Früher war die Durchleuchtung das Verfahren mit der größten Strahlenbelastung. Heute sind es die vielen kleinen Serien, die während einer Intervention wieder und immer wieder angefertigt werden und erheblich zur Strahlenbelastung beitragen.

Nur bei Bedarf

Strahlung im Haushalt

radiologie|technologie Heft 2 (2017) S.7

Bundesamt für Strahlenschutz empfiehlt: Hochfrequente Strahlungsquellen wie WLAN-Router bei Nichtgebrauch abschalten.