Neue Auflage von Medizin mit Durchblick

Sebastian Preisner 21 Nov, 2013 14:02

Am 15. November erschien die zweite Auflage des Patientenmagazins „Medizin mit Durchblick“. In dem Magazin geht es darum den Patientinnen und Patienten die Welt der Radiologie näher zu bringen. Auch die erste Auflage war ein voller Erfolg, weiter Informatienen finden Sie in diesem Artikel.

Grundwissen

Schleier in der Dichtekurve

adrianadamiok 12 Sep, 2010 10:00

Der Schleier einer Dichtekurve von Röntgenfilmen entsteht durch die nicht vollkommen transparente Unterlage und die Tatsache, dass auch bei minimaler oder fehlender Filmbelichtung einzelne Silberatome vom Entwickler angegriffen und somit entwickelt werden.

Schockraumarbeit der MTRA´s

adrianadamiok 8 Jul, 2013 00:00

Im Schockraum, auch Reanimations-Raum (Rea-Raum) genannt, werden schwerverletzte bzw. in Lebensgefahr schwebende Patienten im Krankenhaus erstversorgt. Dabei steht ein Team von Ärzten, Pflegefachkräften sowie Personal der Radiologie bereit.

Museum mit Durchblick

Deutsches Röntgenmuseum in Remscheid

Karl-Heinz Szeifert 23 Nov, 2018 00:00

Ein Museum mit Durchblick. In Remscheid-Lennep gibt es alles über Wilhelm Conrad Röntgens Leben. "Selbst experimentieren und Forscher werden", lautet das Motto des Museums in Conrad Röntgens Geburtsort Remscheid-Lennep.

Spezialaufnahme

Die „Rosenberg-Aufnahme“ des Kniegelenks

Karl-Heinz Szeifert 29 Jan, 2020 00:00

Die „Rosenberg-Aufnahme“ ist eine hilfreiche Alternative zur konventionellen Röntgendiagnostik bei der Kniegelenksarthrose. Die konventionelle radiologische Diagnostik bei der Gonarthrose beinhaltet Belastungsaufnahmen im Stand.

Update

I-Pad als Befundstation

adrianadamiok 15 Aug, 2011 14:00

App zur mobilen Nutzung dreidimensionaler Scans von Computer- oder Kernspintomographen, Ultraschall oder Positronenemissionstomographen.

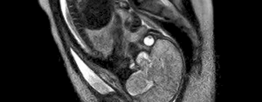
Weltpremiere am Berliner Charité:

Erstmals Geburt im MRT aufgenommen

rockpop 17 Jun, 2011 10:00

Einem Team aus Geburtsmedizinern und Radiologen ist es erstmals gelungen, die Geburt eines Kindes mittels Magnetresonanztomografie (MRT) komplett aufzuzeichnen.

Rückenschmerzen Rauchen

adrianadamiok 1 Jan, 2018 18:00

Wer raucht, hat öfter Rückenschmerzen und zwar zwischen 20 und 80 Prozent mehr als Nichtraucher.Der Grund: Durch das Rauchen werden die Bandscheiben nur schlecht mit Nährstoffen versorgt.