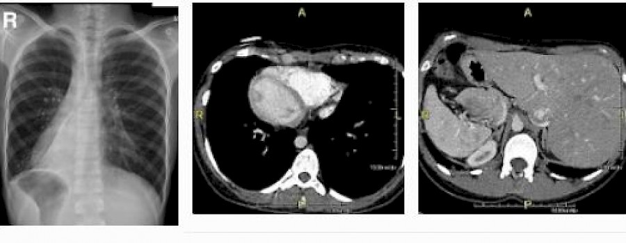
Fremdkörper aus Baumwolle
Gossypibom
Als Gossypibom wird in medizinischen Fachkreisen ein zurückgelassener Frempkörper aus Baumwolle nach chirurgischen Eingriffen bezeichnet. Der Ausdruck Gossypibom setzt sich zusammen aus „gossypium“ (lateinisch: Baumwolle) und „boma“ (Swahili: Versteck).








