Keine Strafe Gottes mehr
Lepra oder " Der Aussatz"
Lepra ist eine chronische Infektionskrankheit, die durch das Bakterium Mycobacterium leprae ausgelöst wird. Den bakteriologischen Nachweis erbrachte 1873 der Norweger Gerhard Armauer Hansen.
Lepra ist eine chronische Infektionskrankheit, die durch das Bakterium Mycobacterium leprae ausgelöst wird. Den bakteriologischen Nachweis erbrachte 1873 der Norweger Gerhard Armauer Hansen.
Ganz normales aus einer Notfallambulanz
Kontrastmittelgaben durch MTRA und wann muss ein Arzt bei einer Röntgenuntersuchung anwesend sein?
Die Lage- und Richtungsbezeichnungen dienen in der Anatomie zur Beschreibung der Position, der Lage und des Verlaufs einzelner Strukturen. Zum Teil sind diese Bezeichnungen auch Bestandteil anatomischer Namen.
Ein Thema, das immer wieder an uns herangetragen wird, ist das Anlegen und die Benutzung von Strahlenschutzmitteln wie die Hodenkapsel oder der Ovarialschutz. So auch die Frage: "Gibt es eine vorgeschriebene Altersgrenze für das Anbringen der Hodenkapsel, bzw des Ovarialschutzes?"
Die Patellarsehnenruptur ist ein Riss der Sehne zwischen dem unteren Pol der Kniescheibe (Patella) und dem Schienbeinhöcker (Tuberositas tibiae).
Die Etablierung digitaler Röntgenverfahren hat zu einem veränderten Umgang mit der Strahlendosis geführt. Dieser Umgang ist noch verbesserungswürdig.
Eine Besonderheit beim Betrieb von Röntgeneinrichtungen sind die teleradiologischen Untersuchungen. Diese sind bisher streng im §3 Abs 4 der RöV geregelt. Ab 1.Januar 2019 gilt §123 der neuen StSchV:
Röntgenzeichen sind in der klinischen Befundung eine wertvolle Hilfe. Die meisten Röntgenzeichen sind so typisch, dass sie gemeinsam mit den klinischen Befunden eine Diagnose beweisen.
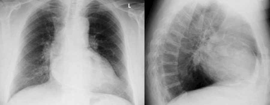
Unter einem Panzerherz versteht man eine Verdickung und Verkalkung des Herzbeutels, der eine Ausdehnung des Herzens im Rahmen seiner Füllungsphase nicht mehr uneingeschränkt zulässt.