Was ist das?
Der kleine Röntgen-Ratespaß (30)
Was ist heute auf unserem ominösen Röntgenbild abgebildet?
Was ist heute auf unserem ominösen Röntgenbild abgebildet?
Die Röntgenröhre im medizinischen Einsatzbereich - Ein Vortrag von Dr. Heinrich Behner Siemens AG (Teil 4)
Was ist heute auf unserem ominösen Röntgenbild abgebildet?
Die Röntgenröhre im medizinischen Einsatzbereich - Ein Vortrag von Dr. Heinrich Behner Siemens AG (Teil 3)
Seit einer Woche dreht auf unserem Globus mal wieder alles um König Fußball. Die Fußball WM 2018 in Russland hat begonnen und spaltet die Nation wieder in zwei Hälften: - Die der Fußballfans und die der Fußballignoranten.
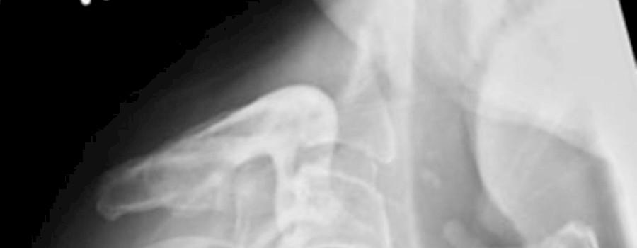
Röntgen HWS seitl. "kopflos" - So könnte die Anforderung für diese Aufnahme der HWS seitlich gelautet haben.
Was ist heute auf unserem ominösen Röntgenbild abgebildet?
Die Röntgenröhre im medizinischen Einsatzbereich. - Ein Vortrag von Dr. Heinrich Behner Siemens AG (Teil 2)
Patient: männlich Alter: 48 Jahre alt - keine relevanten Vorerkrankungen - kommt zur ambulanten Untersuchung.
Fragen nach den Fristen der Fachkundeaktualisierung werden uns immer wieder gestellt. So auch die nachstehenden drei Anfragen, die wir hier gerne nochmals beantworten wollen.