Röntgenspektrum
Charakteristische Röntgenstrahlung
In einer Röntgenröhre entstehen stets zwei unterschiedliche Röntgenstrahlungsarten. Die vom Material der Anode abhängige charakteristische Röntgenstrahlung und die Röntgenbremsstrahlung.
In einer Röntgenröhre entstehen stets zwei unterschiedliche Röntgenstrahlungsarten. Die vom Material der Anode abhängige charakteristische Röntgenstrahlung und die Röntgenbremsstrahlung.
Zunehmend werden Röntgenanforderungen nicht mehr auf Papier gestellt. Immer häufiger geschieht dies elektronisch über die in Praxen und Krankenhäusern installierten Informationssysteme.
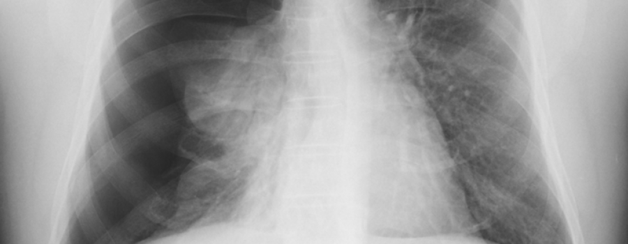
Was ist heute auf unserem ominösen Röntgenbild abgebildet?
Was ist heute auf unserem ominösen Röntgenbild abgebildet?
In der Richtlinie für die technische Prüfung von Röntgeneinrichtungen ist in der Anlage III geregelt, welche Patientenschutzmittel in den entsprechenden Einrichtungen zur Untersuchung von Menschen vorzuhalten und anzuwenden sind.
Anamnese und Diagnose: - Der Patient hatte am Morgen einen Hustenanfall. Anschließend klagte er über rechtsthorakale Schmerzen und Luftnot. Am Nachmittag stellte er sich dann in der Notfallambulanz vor.
Unter Strahlenschutz versteht man den Schutz von Mensch und Umwelt vor den schädigenden Wirkungen ionisierender und nicht ionisierender Strahlung (aus natürlichen und künstlichen Strahlenquellen).
Was ist heute auf unserem ominösen Röntgenbild abgebildet?
Der CTDI ist eine Messgröße in der Dosimetrie und Grundlage für die Berechnung der Strahlenbelastung während einer Röntgenaufnahme mit Hilfe eines Computertomographen.
In einer 30-seitigen Broschüre möchte die Kassenärztliche Bundesvereinigung (KBV) Ärzten und radiologischen Fachkräften Hinweise an die Hand geben, wie sie Mammographie-Aufnahmen in der erforderlichen Qualität erstellen können.