Radioaktive Zahncreme
Doramad - für "strahlend" weiße Zähne
"Doramad" - die radioactive Zahncreme (ca. 1940-1945) Was heutzutage undenkbar ist und sehr naiv anmutet , gab es in den Jahren 1940 bis 1945 wirklich.
"Doramad" - die radioactive Zahncreme (ca. 1940-1945) Was heutzutage undenkbar ist und sehr naiv anmutet , gab es in den Jahren 1940 bis 1945 wirklich.
Die KBV (Kassenärztlichen Bundesvereinigung) hat auf der Grundlage der Qualitätsprüfungen bundesweite statistische Analysen durchgeführt, in die über 79.000 Mammographie-Aufnahmen aus etwa 20.000 Untersuchungen (Patientinnen) eingingen.
Das menschliche Skelett besteht aus gut 200 Knochen (individuell verschieden zwischen 206 und 214). Zusätzlich gibt es eine Reihe von Knochen und Varietäten, die nur bei einem kleinen Teil der Bevölkerung auftreten.
Die Röntgenverordnung (RöV) regelt in §24 eindeutig und ausschließlich, wer die rechtfertigende Indikation nach §23 RöV zur Anwendung von Röntgenstrahlen stellen darf. - Aber wird das auch eingehalten???
Wie hoch ist die Strahlenbelastung bei dieser Röntgen-Untersuchung? - Patienten fragen immer öfter nach den Strahlenrisiken der verschiedenen radiologischen Untersuchungen.
Die Strahlenschutzkommission hat eine Empfehlung zum Strahlenschutz des Patienten bei CT-Untersuchungen des Schädels zur Gantrykippung veröffentlicht: Nachstehend auszugsweise der wesentliche Inhalt.
Gerade bei Kindern ist es besonders wichtig, die medizinisch indizierte Strahlenbelastung auf ein Minimum zu begrenzen.
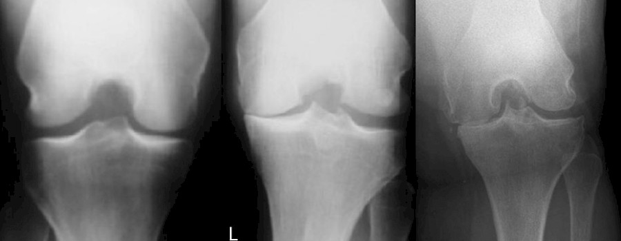
Die „Rosenberg-Aufnahme“ ist eine hilfreiche Alternative zur konventionellen Röntgendiagnostik bei der Kniegelenksarthrose. Die konventionelle radiologische Diagnostik bei der Gonarthrose beinhaltet Belastungsaufnahmen im Stand.
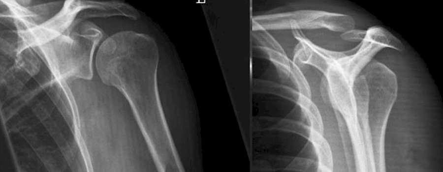
Bei der relativ großen Anzahl von möglichen Schultereinstellungen in der Röntgendiagnostik ist es nicht immer einfach und ganz klar, bei welcher Indikation welche Projektion die Fragestellung am Besten beantwortet.
Das dürfte wohl jedem Golfer schon mal passiert sein: Der Ball wird abgeschlagen und landet dann irgendwo, nur nicht dort wo man ihn eigentlich hin platzieren wollte.