Update nach neuem Strahlenschutzrecht
Zur technischen Durchführung berechtigt
In Röntgenabteilungen und in Praxen werden zur technischen Durchführung der Röntgenaufnahmen in der Regel MTA-R und MFA mit Röntgenschein eingesetzt. Wer darf jetzt was?
In Röntgenabteilungen und in Praxen werden zur technischen Durchführung der Röntgenaufnahmen in der Regel MTA-R und MFA mit Röntgenschein eingesetzt. Wer darf jetzt was?
Jeder Mensch würde auf der Stelle tot umfallen, wenn er auch nur einem Bruchteil der Strahlungsdosis ausgesetzt wäre bei der dieses Bakterium noch prächtig wächst und gedeiht.
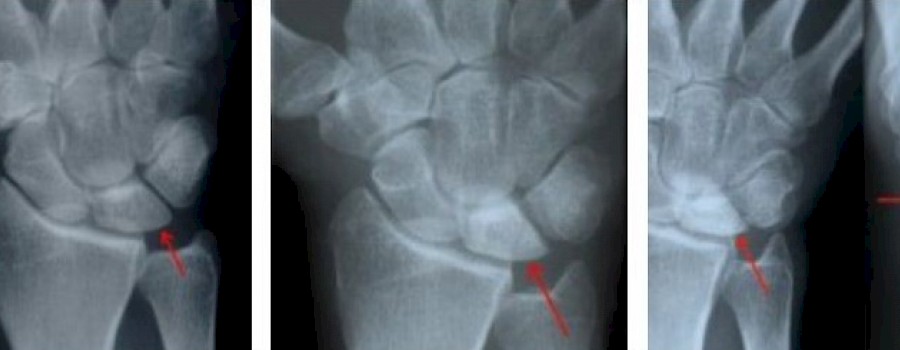
Die Lunatummalazie, auch Lunatumnekrose, Mondbeintod oder Morbus Kienböck genannt, ist eine Erkrankung, bei der es zu einem teilweisen oder vollständigem Absterben (medizinisch: Nekrose) des Os Lunatums (Mondbein, Handwurzelknochen) kommt.
Es klappt - allerdings nur im Vakuum, aber es klappt! - Wird Klebeband von der Rolle abgezogen, entsteht eine schwache Röntgenstrahlung.
Der § 35 Abs. 5 RöV schreibt vor, dass ein weiterer Dosimeter in der Regel Fingerringdosimeter dann zu tragen ist, wenn vorauszusehen ist, dass die Organdosis mehr als 150 mSv im Kalenderjahr beträgt.
MTA-R.de ist die erste- und größte deutsche Community für MTRA! MTA-R.de hat bereits über 6000 Besucher pro Monat - Tendenz steigend!
Gemeinsam mit der Deutschen Röntgengesellschaft und der VMTB führt der dvta auch in diesem Jahr wieder die MTA-Aktionstage unter dem Motto "Schau rein was für Dich drinsteckt" durch.
Medizinisch-technische Radiologieassistenten (MTRA) unterliegen wir ebenso wie ein Arzt der Schweigepflicht. Das ist die Pflicht, über alle Tatsachen und Umstände, die uns in unserer beruflichen Eigenschaft bekannt geworden sind, Stillschweigen zu bewahren.
Die Hysterosalpingografie (HSG) Untersuchung wird häufig im Rahmen der Fruchtbarkeitsuntersuchung durchgeführt. Sie ist eine Röntgenuntersuchung, bei der die Gebärmutterhöhle und die Eileiter mit einem Kontrastmittel dargestellt werden.
Bei Stiftung Warentest sucht man ihn vergebens - den Hodenkapseltest! - Nicht so bei MTA-R.de: Wir habe sie getestet - die gängigsten Hodenkapseln!