Versteinert im Mutterbauch
Das Lithopädion oder auch das Steinkind
Ein Lithopädion oder Steinkind ist ein abgestorbener, versteinerter Fötus im Mutterleib und ist beim Menschen äußerst selten.
Ein Lithopädion oder Steinkind ist ein abgestorbener, versteinerter Fötus im Mutterleib und ist beim Menschen äußerst selten.
Das im Volksmund bekannte Rapunzel-Syndrom (Trichophagie) beschreibt ein zwanghaftes Verhalten des Patienten. Es beinhaltet das Verschlucken sowie das Essen der eigenen Haare über einen längeren Zeitraum.
In der Praxis kommt es häufig vor, dass Patienten bevor diese mit einem fachkundigen Arzt sprechen oder von ihm untersucht werden, zunächst zum Röntgen geschickt werden.
Der Strahlenschutzbikini kommt! Nach einer neuen Strahlenschutzrichtlinie - bekanntgegeben zum 1.April 2018 vom BMA - werden zukünftig neuartige bleihaltige Strahlenschutz-Dessous bei Röntgenuntersuchungen empfohlen.
Tipps und Hinweise für die Einstelltechnik sowie die schriftliche Dokumentation. Herausgegeben von der kassenärzlichen Vereinigung Berlin.
Was ist auf unserem heutigen ominösen Röntgenbild abgebildet?
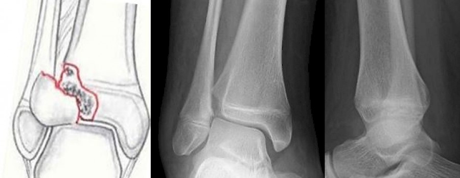
Die Übergangsfraktur ist eine besondere Frakturform der epiphysären Verletzungen zum Zeitpunkt des Wachstumsfugenverschlusses. Durch teilweise Verknöcherung der Wachstumsfuge entstehen spezifische Frakturmuster, die sich von der typischen Innenknöchelfraktur bei noch weit offenen Fugen unterscheiden.
Bei einer Milzzyste handelt es sich um einen durch eine Kapsel abgeschlossenen, sackartigen Hohlraum mit einem dünn- oder dickflüssigen Inhalt. Die Funktion der Milz wird durch die Milzzyste in der Regel nicht beeinträchtigt.
Was ist auf unserem heutigen ominösen Röntgenbild abgebildet?
Röntgenfotographie Rose (Positive und Negative) Röntgenaufnahme eines Rosenzweigs (linkes Foto) - nachbearbeitet und