Richtiges verwenden und anlegen von
Hodenkapseln (Update)
Hodenkapseln bei Röntgen und CT reduzieren die Strahlenbelastung der Hoden erheblich. Sie werden mittlerweile gefordert und sie sind Pflicht:
Hodenkapseln bei Röntgen und CT reduzieren die Strahlenbelastung der Hoden erheblich. Sie werden mittlerweile gefordert und sie sind Pflicht:
Eine Anfrage zur Qualifikation der Personen, die Konstanzprüfungen an Röntgeneinrichtungen durchführen, wurde diesbetüglich durch das Referat II3 des Bayrisches Staatsministeriums für Arbeit und Sozialordnung, Familie und Frauen bereits am 25. Oktober 2010 folgendermaßen beantwortet.
Was ist auf unserem heutigen ominösen Röntgenbild abgebildet?
Die Schultereckgelenksverrenkung (auch Schultereckgelenk-Sprengung, AC-Gelenk-Sprengung, ACG-Sprengung oder AC-Sprengung) ist eine durch traumatische äußere Einwirkungen verursachte komplette oder inkomplette Sprengung des Schultereckgelenkes.
Was ist auf unserem heutigen ominösen Röntgenbild abgebildet?
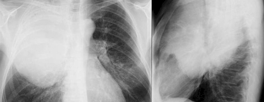
Ein 57-jähriger Patient in mittelschwer reduziertem AZ und magerem EZ, wach, klar orientiert und adäquat, blaße Hautfarbe stellt sich in der Notaufnahme vor und wurde zur Abklärung einer abnormen Gewichtsabnahme stationär aufgenommen.
Das Borderline-Syndrom ist eine häufig diagnostizierte Persönlichkeitsstörung. Der englische Begriff Borderline (Grenzlinie) entstand, da die Symptomatik ursprünglich zwischen Psychose und Neurose eingeordnet wurde.
Es gibt schon manchmal komische Situationen in einer Röntgenabteilung. So wie in diesem Falle...,
Ganz normales aus einer Notfallambulanz
Kontrastmittelgaben durch MTRA und wann muss ein Arzt bei einer Röntgenuntersuchung anwesend sein?