Gibt es eine Altersgrenze?

Gonadenschutz beim Röntgen - Update

Karl-Heinz Szeifert 21 Jun, 2019 00:00

Ein Thema, das immer wieder an uns herangetragen wird, ist das Anlegen und die Benutzung von Strahlenschutzmitteln wie die Hodenkapsel oder der Ovarialschutz. So auch die Frage: "Gibt es eine vorgeschriebene Altersgrenze für das Anbringen der Hodenkapsel, bzw des Ovarialschutzes?"

Fallbeispiel

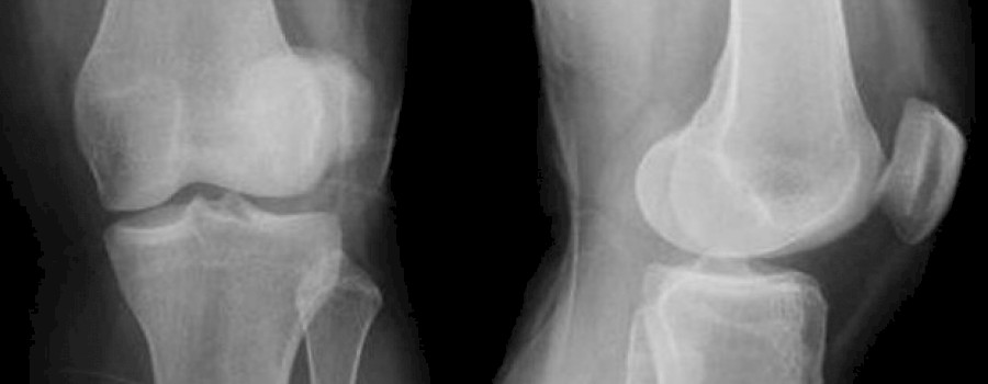
Patellarsehnenruptur

Karl-Heinz Szeifert 3 Jan, 2019 00:00

Die Patellarsehnenruptur ist ein Riss der Sehne zwischen dem unteren Pol der Kniescheibe (Patella) und dem Schienbeinhöcker (Tuberositas tibiae).

Pericarditis constrictiva

Das Panzerherz

Karl-Heinz Szeifert 25 Jul, 2018 00:00

Unter einem Panzerherz versteht man eine Verdickung und Verkalkung des Herzbeutels, der eine Ausdehnung des Herzens im Rahmen seiner Füllungsphase nicht mehr uneingeschränkt zulässt.

Nur noch selten verlangt

Röntgen-Spezialaufnahmen

jennyk 6 Jun, 2018 00:00

Spezialaufnahmen in der Röntgendiagnostik werden immer wieder angefordert, obgleich ihr Stellenwert durch die CT und MRT in den letzten Jahren stark abgenommen hat.

MTA-R.de - Gewinnspiel (abgelaufen)

Was war drin? - In den Überraschungs-Eiern!

ludolfh 6 Dec, 2011 10:00

Gewinne die aktuelle Auflage von Kompendium der Röntgen Einstelltechnik im Wert von 92€. Weitere Informationen und Teilnahmeformular am Ende dieses Artikels. Einsendeschluss war der 24.12.2011.

Wissen

Der Fersensporn

Karl-Heinz Szeifert 18 Oct, 2018 00:00

Der Fersensporn ist eine dornartige, verknöcherte Ausziehung des Fersenbeins, die sich durch Reizung entzünden und dann Schmerzen verursachen kann.

Stichwort

Speicherfoliensystem

rockpop 5 Oct, 2018 00:00

Röntgenspeicherfolien ersetzen heute nahezu die herkömmlichen Röntgenfilme. Die Speicherfolien in speziellen Kassetten sind in ihren Abmessungen zu den Filmkassetten kompatibel, sodass die bestehenden Röntgengeräte nicht umgebaut werden müssen.

Sesambein in der Kniekehle

Die Fabella

Karl-Heinz Szeifert 4 Oct, 2018 00:00

Die Fabella ist ein zusätzlicher kleiner Knochen, der als Zufallsbefund bei Röntgenaufnahmen häufig in der Kniekehle nachweisbar ist.

Patellaluxation

Karl-Heinz Szeifert 21 Sep, 2018 00:00

Die Patellaluxation ist eine der häufigeren Knieverletzungen. Sie  ist eine Kniegelenksverletzung, bei der die Kniescheibe (Patella) aus ihrer Führung springt (Luxation).